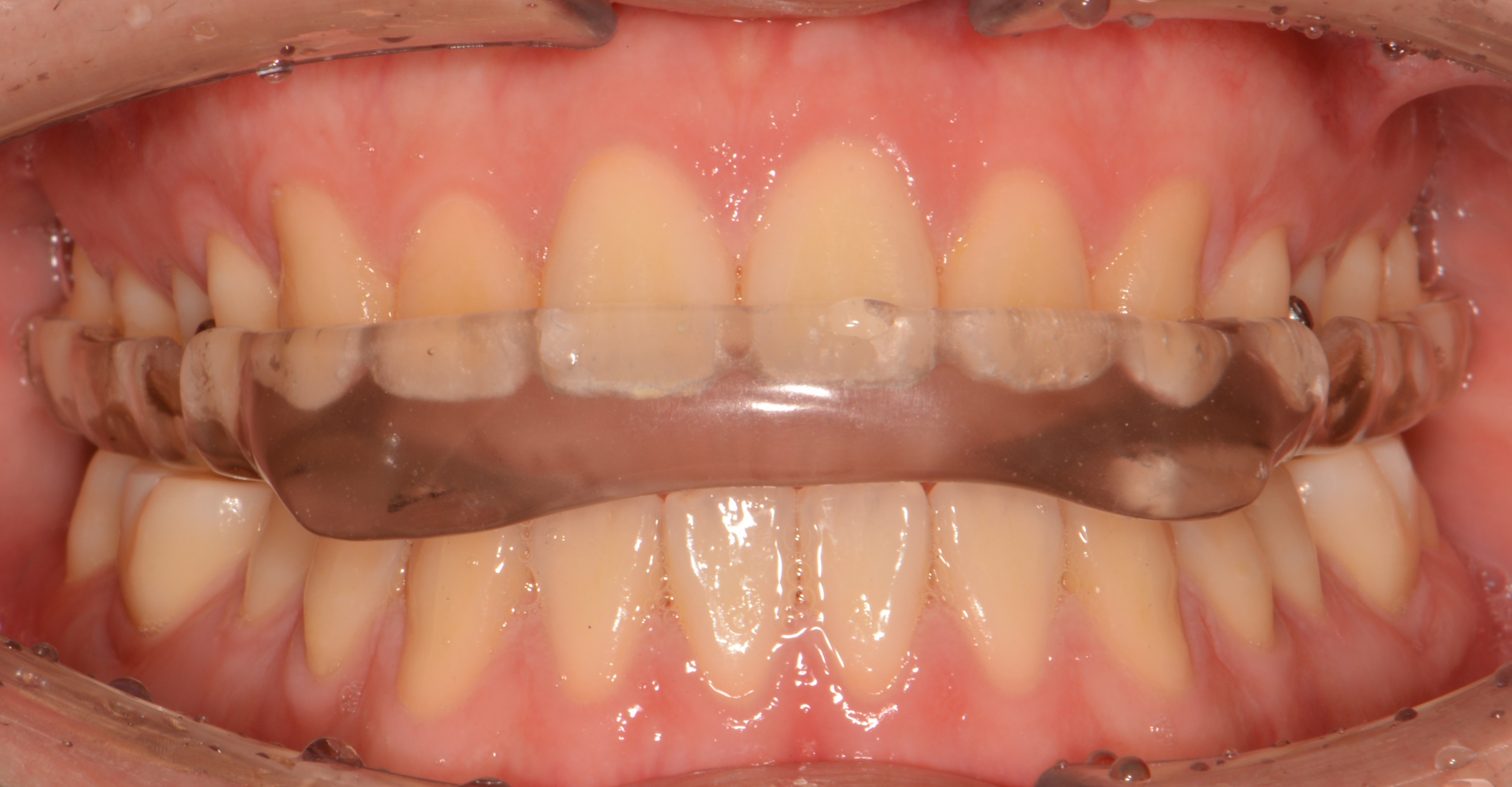
이갈이 장치.
-
Before
-
After
수면 시 이를 악물거나 이갈이가 있는 분들에게 추천되는 장치입니다.
수면 시 이갈이는 의식적인 힘조절이 안되기 때문에 더 위험합니다.
치아 파절 및 크랙을 유도할 수 있고 턱관절에 무리를 줘서 턱 통증 및 개구 장애를 유발할 수도 있습니다.
치아 마모를 방지해주고 이갈이 자체를 줄여주는 효과도 있기 때문에
이갈이 장치 착용을 추천드립니다.
이갈이 장치는 기존 치아와 정밀하게 맞아야 하며 교합되는 치아와도 잘 대합되는지
여부를 지속적으로 확인해야 하기 때문에 꼭 치과에서 본을 떠서 제작해야 합니다.
수면 시 이갈이는 의식적인 힘조절이 안되기 때문에 더 위험합니다.
치아 파절 및 크랙을 유도할 수 있고 턱관절에 무리를 줘서 턱 통증 및 개구 장애를 유발할 수도 있습니다.
치아 마모를 방지해주고 이갈이 자체를 줄여주는 효과도 있기 때문에
이갈이 장치 착용을 추천드립니다.
이갈이 장치는 기존 치아와 정밀하게 맞아야 하며 교합되는 치아와도 잘 대합되는지
여부를 지속적으로 확인해야 하기 때문에 꼭 치과에서 본을 떠서 제작해야 합니다.
