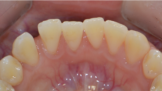
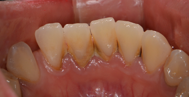
스케일링
-
Before
-
After
우리 모두가 나름대로 열심히 칫솔질을 하고 있지만,
늘 사각지대가 있습니다.
아래 앞니 혀쪽 면은 대체로 치석이 많이 쌓이게 됩니다.
치태와 치석은 세균의 온상이고 이를 방치하면 치주염이 진행되므로
늘 청결하게 유지해야 합니다.
늘 사각지대가 있습니다.
아래 앞니 혀쪽 면은 대체로 치석이 많이 쌓이게 됩니다.
치태와 치석은 세균의 온상이고 이를 방치하면 치주염이 진행되므로
늘 청결하게 유지해야 합니다.
