굿프렌즈 치과
임플란트
치아교정
일반 진료
틀니치료
소아진료
임상증례
굿프렌즈 치과
임플란트
치아교정
일반 진료
틀니치료
소아진료
임상증례

굿프렌즈 치과
임플란트
치아교정
일반 진료
틀니치료
소아진료
임상증례

치아교정

굿프렌즈 치과 임상 케이스

직접 확인해보세요!

자연치아 살리기
임플란트
심미보철치료
틀니
치아교정
사랑니발치
기타치료

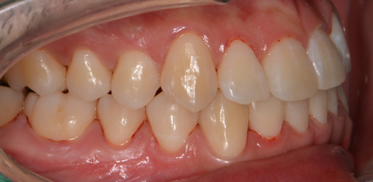
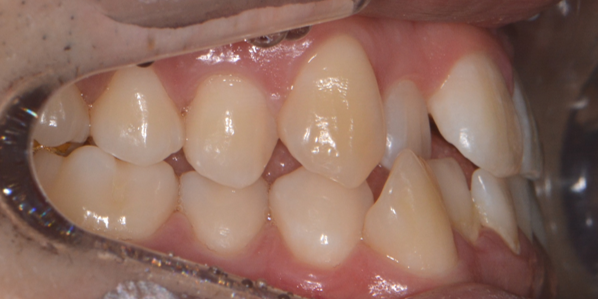
비뚤어진 앞니 교정

Before
After
윗니는 아랫니를 자연스럽게 덮고 있는 형태여야 합니다만
간혹 아랫니보다도 안쪽으로 들어간 경우가 생깁니다.

교정치료를 통해 가지런한 치열과 교합을 얻었습니다.

굿프렌즈 치과
진료시간 및 오시는 길

※일요일 및 공휴일은 휴진

전화상담

카톡상담

네이버 예약

블로그

인스타그램

치료후
주의사항

오시는 길

▲ TOP