굿프렌즈 치과
임플란트
치아교정
일반 진료
틀니치료
소아진료
임상증례
굿프렌즈 치과
임플란트
치아교정
일반 진료
틀니치료
소아진료
임상증례

굿프렌즈 치과
임플란트
치아교정
일반 진료
틀니치료
소아진료
임상증례

임플란트

굿프렌즈 치과 임상 케이스

직접 확인해보세요!

자연치아 살리기
임플란트
심미보철치료
틀니
치아교정
사랑니발치
기타치료

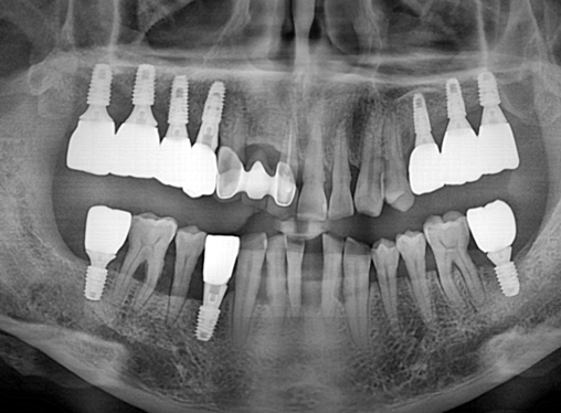
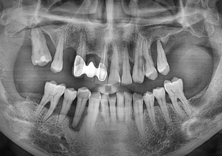
상악동 거상술을 동반한 상하악 임플란트 증례

Before
After
때로는 처음 오셔서 찍은 x-ray를 봤을 때 탄식이 절로 날 때가 있습니다.

'이거 어떻게 해야 하나..' 싶으면서도 저희를 믿고 따라와 주시는 환자분들을 보면
다시 심기 일전해서 최선을 다해봅니다.

너무 치조골 흡수가 많이 진행되어서 임플란트가 어려울 것 같은 부위에도
다행히 골생성이 잘 되어서 보철까지 마무리가 잘 된 케이스 입니다.

굿프렌즈 치과
진료시간 및 오시는 길

※일요일 및 공휴일은 휴진

전화상담

카톡상담

네이버 예약

블로그

인스타그램

치료후
주의사항

오시는 길

▲ TOP