굿프렌즈 치과
임플란트
치아교정
일반 진료
틀니치료
소아진료
임상증례
굿프렌즈 치과
임플란트
치아교정
일반 진료
틀니치료
소아진료
임상증례

굿프렌즈 치과
임플란트
치아교정
일반 진료
틀니치료
소아진료
임상증례

임플란트

굿프렌즈 치과 임상 케이스

직접 확인해보세요!

자연치아 살리기
임플란트
심미보철치료
틀니
치아교정
사랑니발치
기타치료

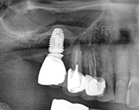
타원 실패 임플란트 재 시술 증례.

Before
After
모든 것은 영구적일 수 없습니다.

임플란트도 각종 합병증이 생길 수 있고 본 케이스 처럼 잇몸 뼈가 70~80%이상 소실 되면
제거하고 다시 시술해야 할 수 있습니다.

잇몸 뼈가 많이 소실된 상태이므로 임플란트 재수술은 보통 더 어려울 수 밖에 없습니다.

위 케이스에서는 상악동 거상술을 측방 접근법으로 시행하여 뼈 이식을 충분히 시행한 뒤 임플란트를
식립하여 단단한 골 지지를 얻을 수 있도록 하였습니다.

굿프렌즈 치과
진료시간 및 오시는 길

※일요일 및 공휴일은 휴진

전화상담

카톡상담

네이버 예약

블로그

인스타그램

치료후
주의사항

오시는 길

▲ TOP