오래된 금니 교체
-
Before
-
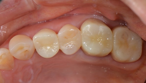
After
오래된 보철(7~10년 이상)은 주기적으로 새 보철로 교체해 주는 것이 좋습니다.
하방으로 우식이나 마모가 진행된 경우가 많고,
그 공간으로 치태가 침착됨으로 인한 치주염 진행도 발생할 수 있습니다.
위 케이스는 오래된 보철로 인한 치주염이 발생하여 잇몸에서 출혈 및 부종이 있는 상태였고
새로운 지르코니아 크라운으로 교체함으로써 이런 잇몸 염증이 개선된 것을 확인 할 수 있습니다.
하방으로 우식이나 마모가 진행된 경우가 많고,
그 공간으로 치태가 침착됨으로 인한 치주염 진행도 발생할 수 있습니다.
위 케이스는 오래된 보철로 인한 치주염이 발생하여 잇몸에서 출혈 및 부종이 있는 상태였고
새로운 지르코니아 크라운으로 교체함으로써 이런 잇몸 염증이 개선된 것을 확인 할 수 있습니다.
