좋은 치료 결과를 생각하는
굿프렌즈 치과
진료에 앞선 굿프렌즈 치과 의료진의 다짐.
- 찾아주신 환자 한 분 한 분을 가족처럼 소중하게 모시겠습니다.
- 어떤 상황에서도 최선을 다해 진료하겠습니다.
- 늘 환자의 입장을 생각하고 역지사지의 정신으로 진료에 임하겠습니다.
- 항상 진료 환경을 청결하게 유지하겠습니다.
- 책임 있는 자세로 끝까지 우리 병원 환자들을 돌보겠습니다.


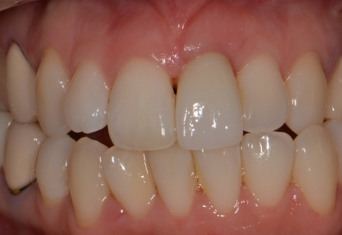
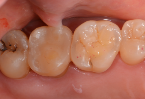
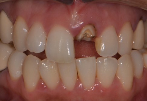
BEFORE
AFTER
위 치료 사례는 굿프렌즈치과에서 직접 치료를 받은 환자 분의 사례로 직접 동의를 얻어 게재되었습니다.
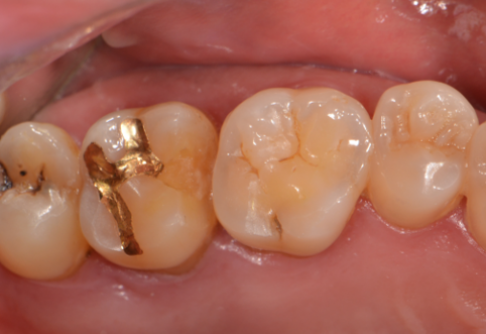
치료사례 더보기 +BEFORE
AFTER
위 치료 사례는 굿프렌즈치과에서 직접 치료를 받은 환자 분의 사례로 직접 동의를 얻어 게재되었습니다.
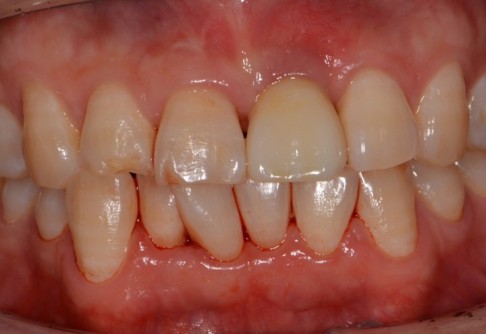
치료사례 더보기 +BEFORE
AFTER
위 치료 사례는 굿프렌즈치과에서 직접 치료를 받은 환자 분의 사례로 직접 동의를 얻어 게재되었습니다.
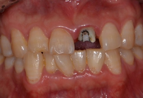
치료사례 더보기 +BEFORE
AFTER
위 치료 사례는 굿프렌즈치과에서 직접 치료를 받은 환자 분의 사례로 직접 동의를 얻어 게재되었습니다.
치료사례 더보기 +BEFORE
AFTER
위 치료 사례는 굿프렌즈치과에서 직접 치료를 받은 환자 분의 사례로 직접 동의를 얻어 게재되었습니다.
치료사례 더보기 +BEFORE
AFTER
위 치료 사례는 굿프렌즈치과에서 직접 치료를 받은 환자 분의 사례로 직접 동의를 얻어 게재되었습니다.
치료사례 더보기 +